O cantor Milton Nascimento, de 82 anos, recebeu recentemente o diagnóstico de demência por corpos de Lewy, uma condição neurológica ainda pouco conhecida, mas que é a terceira causa mais comum de demência no mundo, ficando atrás apenas do Alzheimer e da demência vascular.
Apesar de não ter cura, os tratamentos disponíveis ajudam a controlar sintomas, melhorar a qualidade de vida e retardar a perda de funções cognitivas.
O que é a demência por corpos de Lewy?
Segundo o neurologista André Felício, da Afya Educação Médica, a suspeita da doença surge quando dificuldades cognitivas (como perda de memória recente, desatenção e dificuldade para compreender informações) passam a atrapalhar a rotina e exigir supervisão constante.
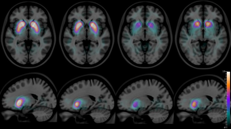
O diagnóstico é feito a partir de testes neuropsicológicos e exames de imagem. Diferente do Alzheimer, a demência por Lewy apresenta alterações específicas na dopamina, neurotransmissor essencial para o movimento e funções cerebrais.
Essa alteração ajuda a explicar por que os pacientes muitas vezes apresentam sintomas parecidos com os da doença de Parkinson, como tremores e rigidez muscular.
No caso de Milton, isso já vinha acontecendo: há cerca de dois anos, o cantor havia sido diagnosticado com Parkinson — um padrão comum em quem, na verdade, já tinha Lewy, mas ainda sem manifestações cognitivas.

Siga o Jovem na Mídia nas redes sociais do Instagram e Facebook para não perder nada!
Quais são os sintomas mais comuns?
- Perda de memória recente e dificuldade de concentração
- Alterações visuais e confusão mental
- Rigidez muscular e tremores (semelhantes ao Parkinson)
- Dificuldade de manter a independência nas tarefas diárias
Há como prevenir?
Embora a ciência ainda não saiba exatamente o que causa a demência, já se sabe que alguns hábitos de vida podem diminuir os riscos. Exercícios físicos, sono de qualidade, boa alimentação (como a dieta mediterrânea) e estímulos cognitivos ajudam a proteger o cérebro.
Por outro lado, fatores como sedentarismo, consumo de álcool, hipertensão, diabetes e obesidade aumentam as chances de desenvolver o problema.
Um estudo recente da Universidade de São Paulo (USP) apontou que até 60% dos casos de demência estão ligados a fatores que poderiam ser prevenidos com mudanças de estilo de vida.




